Prirodni pristupi uklanjanju lipoma ispod kože
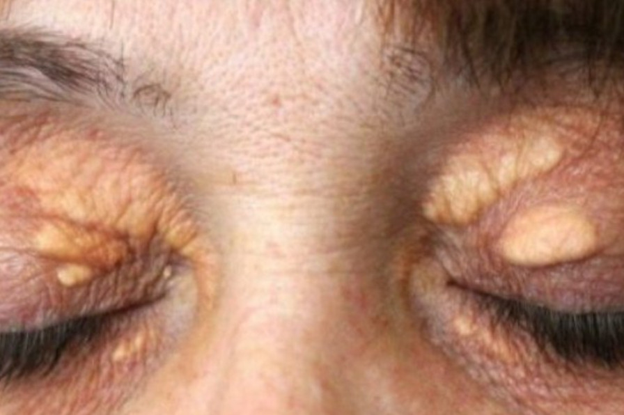
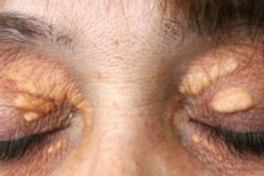
Male izbočine ispod oka, koje se često javljaju u obliku lipoma, mogu izgledati bezopasno, no postoje situacije kada one postaju izvor nelagode, te čak i potencijalno opasne. Razumijevanje ovih izbočina, njihovih svojstava i dostupnih tretmana može biti od velike pomoći u suočavanju sa ovim problemom.Na početku mog iskustva, smatrala sam da je izbočina samo običan prištić, no kako su dani prolazili, ona nije nestajala. Umjesto toga, postajala je sve primjetnija, a koža oko nje je počela blago nateći. Nakon posjete dermatologu, saznala sam da se radi o lipomu, benignom masnom tkivu koje se često razvija ispod kože. Ova saznanja su mi donijela određenu olakšanje, ali estetika mi je postala prioritet, naročito jer se izbočina nalazila blizu mog oka. Odlučila sam da ne želim da me ona opterećuje, pa sam se okrenula alternativnim rješenjima. Umjesto da odmah razmišljam o hirurškom rješenju, odlučila sam istražiti prirodne alternative. Na Internetu sam naišla na mnoštvo savjeta, ali većina njih mi se činila neuvjerljivom. Ipak, jedan recept me posebno privukao: korištenje bijelog luka kao prirodnog obloga. Ovo je bila namirnica koju sam često koristila u kuhinji, ali nisam razmišljala o njenim ljekovitim svojstvima. Bez obzira na moju sumnju, bila sam spremna dati šansu ovoj metodi, jer sam čula iskustva drugih koji su imali slične probleme.

Primjena i rezultati tretmana
Nakon što sam nježno položila oblog od bijelog luka na područje ispod oka i zadržala ga nekoliko minuta, osjetila sam blagu toplinu. Ovaj osjećaj je bio prilično ugodan, a ne neugodan. Bilo je to kao da su svi moji strahovi od iritacije nestali. Nakon desetak minuta, oblog sam skinula, oprala lice mlakom vodom i nanijela kokosovo ulje kako bih umirila kožu. Ovaj postupak sam ponavljala dva puta tokom dana – ujutro i uveče. Sljedećeg jutra, kada sam se pogledala u ogledalo, bila sam zapanjena. Izbočina je postala znatno manja, koža nije bila crvena, a osjećaj zategnutosti je nestao. Ova kombinacija prirodnih sastojaka, bijelog luka i kokosovog ulja, ispostavila se kao odlična za moju kožu. U roku od tri dana, izgledalo je kao da nikada nije ni postojalo! Ovaj brzi uspjeh me uvjerio da prirodni pristupi zaista mogu biti efikasni.

Zašto bijeli luk djeluje?
Bijeli luk se smatra prirodnim antibiotikom i snažnim antioksidansom. Njegovi sumporni spojevi potiču cirkulaciju i razgrađuju nakupine masnih ćelija ispod kože. Ovaj hemijski sastav je ono što ga čini moćnim alatom u borbi protiv masnih naslaga. Osim što pomaže u smanjenju lipoma, bijeli luk čisti pore i potiče regeneraciju kože, čineći tretirano mjesto glatkim i bez ožiljaka. Pored toga, važno je napomenuti da se kod primjene bijelog luka na osjetljivim dijelovima kože preporučuje korištenje gaze ili miješanje s malo maslinovog ili kokosovog ulja. Ova kombinacija smanjuje potencijalnu iritaciju, dok još uvijek omogućava da se iskoriste ljekovita svojstva bijelog luka. Također, postoje i mnogi drugi prirodni sastojci koji se mogu koristiti u kombinaciji s bijelim lukom kako bi se dobili još bolji rezultati.

Drugi prirodni lijekovi
Osim bijelog luka, postoje i druge prirodne alternative koje mogu pomoći u smanjenju lipoma ili masnih naslaga ispod kože. Na primjer, ricinusovo ulje je poznato po svojim protuupalnim svojstvima i može pomoći u razgradnji masnih ćelija. Kurkuma, pomiješana s medom, također djeluje protuupalno i potiče obnavljanje tkiva, a njene antiseptičke osobine pomažu u održavanju zdravlja kože. Međutim, nijedna od ovih metoda nije bila tako efikasna kao bijeli luk. Ovaj prirodni tretman me doslovno spasio od odlaska pod nož. Naravno, ako se masno tkivo nalazi dublje ispod kože ili je veće, najbolje je konzultirati se s dermatologom ili hirurgom. Ipak, za manje i površinske lipome, bijeli luk može predstavljati pravo čudo iz naše kuhinje. Osim toga, cijena ovih prirodnih lijekova je daleko pristupačnija od skupih medicinskih tretmana. Od tada, bijeli luk ne koristim samo u kuhinjskim receptima, već i kao prirodni lijek u raznim situacijama. Ponekad je najjednostavnije rješenje upravo ono koje je uvijek bilo na dohvat ruke – u kuhinji. Stoga, ako primijetite malu masnu izbočinu na licu ili tijelu, razmislite o prirodnim opcijama prije nego što se odlučite za skupe tretmane. Priroda često nudi rješenja koja su jednostavna, pristupačna i efikasna. U konačnici, ponekad je potrebno samo malo istraživanja i hrabrosti da se okušamo u nečemu novom. U ovom slučaju, bijeli luk nije samo sastojak za kuhanje, nego i moćan saveznik u borbi protiv manjih estetskih nedostataka. S obzirom na sve više ljudi koji traže prirodne načine za poboljšanje svog zdravlja i izgleda, prirodni pristupi poput ovoga zasigurno zaslužuju više pažnje i poštovanja.








